

Le piccole macchie che si vedono in superficie spesso corrispondono a lesioni cariose in stato avanzato all'interno del dente. Allo stesso modo i traumatismi con perdita di struttura dentaria rappresentano un importante indebolimento per il dente stesso.
Per questo motivo sono fondamentali i controlli periodici e l'intervento tempestivo.
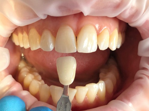
Il nostro studio offre una vasta gamma di materiali di vari colori, luminosità e gradi di saturazione al fine di raggiungere risultati estetici e totalmente naturali.
Ricorda:
La cosa più gratificante per un dentista non è creare un bel sorriso ma dare al paziente motivi per mostrarlo!

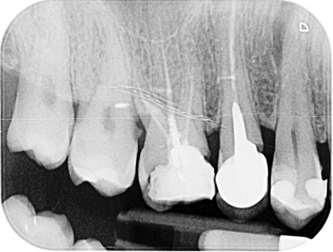
Il termine "devitalizzare" significa letteralmente privare della vita.
Questo trattamento, pertanto, consiste nella rimozione di tutto il tessuto organico albergato dentro il dente al fine di lasciare esclusivamente una struttura estetica e funzionale nella masticazione-occlusione ma facendo cessare qualsiasi patologia infettiva o infiammatoria in corso.
Grazie ad un attento studio diagnostico ricerchiamo prima di tutto la causa del problema e valutiamo tutte le opzioni terapeutiche opportune.
Ci assicuriamo della resistenza strutturale del dente e della sua restaurabilità affinchè il beneficio di questo trattamento sia esteso al lungo termine evitando in questo modo la perdita del dente stesso.
Ricorda:
Il corpo, se lo tratti bene, può durare tutta la vita. E i denti anche.

Grazie ai tanti anni di esperienza siamo riusciti a sviluppare un metodo di approccio confortevole e sicuro per tutti i bambini che abbiamo in cura.
Pianifichiamo sempre un primo incontro conoscitivo per conquistarci innanzitutto la loro amicizia e fiducia.
Durante i trattamenti assumiamo un atteggiamento ludico per coinvolgere il bambino nella collaborazione, per responsabilizzarlo e per liberarlo dall'ansia e dallo stress che la situazione comporta.
Grazie ad un approccio psicologico basato sul rinforzo positivo e sulla tecnica dire-mostrare-fare facciamo in modo che i nostri bambini superino per sempre la paura del dentista!
Ricorda:
Avere paura di ciò che non si conosce è una reazione naturale!

Bonificare periodicamente il cavo orale e mantenere una bassa carica batterica è la migliore forma di prevenire le malattie dentali.
Il nostro studio si impegna nella promozione e nel mantenimento della salute orale e si presta ad insegnare le tecniche di igiene personale più adeguate a ciascun caso specifico.
Ricorda:
Il trattamento con più alto tasso di successo è quello che non si fa.
Prenditi cura di te!

Realizziamo chirurgie estrattive finalizzate ai trattamenti paradontali, ortodontici, protesici ed estetici.
Rimuoviamo foci infettivi in denti non conservabili, resti radicolari,
denti del giudizio.
Grazie ai tanti anni di esperienza abbiamo acquisito un modus operandi che tranquillizza il paziente e questo ci permette di agire rapidamente ed efficacemente in condizioni confortevoli e rassicuranti.
Ricorda:
La resistenza al cambiamento comporta una sofferenza maggiore rispetto al cambiamento stesso.

Ci dedichiamo alla chirurgia implantare e alla collocazione di impianti di ultima generazione e dal materiale sofisticato.
Grazie ad uno scrupoloso esame clinico e radiografico valutiamo le condizioni ossee e paradontali necessarie per una osteointegrazione ottimale.
Ricorda:
Non puoi tornare indietro e cambiare l'inizio, ma puoi iniziare dove sei e cambiare il finale. (C.S.Lewis)

Il nostro studio realizza qualsiasi tipo di trattamento protesico in funzione delle esigenze del paziente.
Realizziamo protesi parziali e complete, removibili e fisse, dentosupportate, mucosupportate, dentomucosupportate, overdentature su impianti e su radici.
Garantiamo soluzioni comode, efficaci ed estetiche affinchè il paziente si adatti pienamente e rapidamente alla sua nuova protesi.
Ricorda:
I problemi non finiscono mai, ma neanche le soluzioni.

Offriamo svariate soluzioni terapeutiche in funzione di ciascun caso clinico, età e profilo di collaborazione del paziente.
In questa specialità, infatti, il passaggio più importante è comprendere le aspettative e i desideri del paziente affinchè si senta motivato nel compiere e rispettare quotidianamente le indicazioni e istruzioni suggeritegli.
Il nostro studio si dedica alle apparecchiature fisse multi-brackets, alle apparecchiature removibili passive/attive, alle apparecchiature funzionali, all'ortodonzia intercettiva e correttiva, alla terapia ortodontica estrattiva.
Ricorda:
Niente di ciò che indossi è più importante del tuo sorriso.